Pour être sûr de recevoir tous nos emails, ajoutez-nous à votre carnet d'adresses.
Si ce mail ne s'affiche pas correctement, suivez ce lien.

 

EDITO

 

Cette première SFR Actu de l'année met en lumière une veille scientifique riche et résolument tournée vers l’évolution de nos pratiques.

 

Cinq articles récents y sont présentés, illustrant à la fois les avancées méthodologiques, l’élargissement des indications de nos outils diagnostiques et l’émergence de nouvelles approches technologiques en imagerie médicale.

 

En miroir, la chronique du musée nous invite à un regard patrimonial avec l’objet du mois : la « Tulipe » hystérographique à préhension pneumatique.

 

Bonne lecture.

 

Retour du scorbut chez l’enfant en France : une alerte nutritionnelle visible en imagerie 

Longtemps considéré comme une maladie du passé, le scorbut refait surface en France chez l’enfant, révélant des fragilités nutritionnelles contemporaines. Cette recrudescence, documentée par une récente étude nationale, rappelle que les carences sévères persistent dans nos sociétés et peuvent se manifester par des signes radiologiques évocateurs. Dans ce contexte, l’imagerie joue un rôle clé de sentinelle diagnostique, permettant d’identifier précocement une pathologie ancienne redevenue d’actualité.

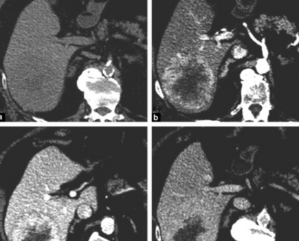
LI-RADS : Quelles combinaisons de critères majeurs sont les plus utiles ? - Le LI-RADS peut-il diagnostiquer le CHC chez les patients sans cirrhose et sans hépatite virale B ? 

Pilier du diagnostic non invasif du carcinome hépatocellulaire, le LI-RADS repose sur des critères majeurs dont les combinaisons sont utilisées quotidiennement en pratique. Pourtant, la contribution diagnostique respective de ces associations reste discutée, notamment aux frontières entre les catégories. Des travaux récents viennent préciser la performance réelle de ces combinaisons et interrogent l’applicabilité du LI-RADS au-delà de sa population cible historique.

 
 

Quel avenir pour l’imagerie thoracique dans les 10 ans ?

Domaine en constante évolution, l’imagerie thoracique se situe à la croisée des avancées technologiques et des besoins cliniques croissants. À l’heure où l’intelligence artificielle et le comptage photonique redessinent les pratiques, une récente revue propose une vision prospective des transformations attendues dans les années à venir. Elle esquisse les contours d’une imagerie plus quantitative, plus dynamique et davantage intégrée à la prise en charge clinique.

RadioRAG : un outil pour renforcer la fiabilité des LLMs en radiologie

L’essor des grands modèles de langage en radiologie ouvre des perspectives prometteuses, mais leur fiabilité demeure un enjeu majeur pour une intégration clinique sécurisée. En s’appuyant sur des sources de connaissances validées et actualisées, de nouvelles approches cherchent à limiter les hallucinations et à renforcer la pertinence des réponses. Le concept de génération augmentée par récupération s’inscrit dans cette dynamique, en rapprochant l’IA conversationnelle des exigences de la pratique radiologique.

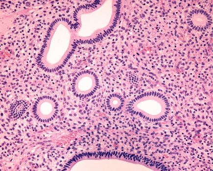
IRM et invasion lymphovasculaire : un marqueur simple pour affiner le staging chirurgical du cancer de l’endomètre 

Facteur pronostique clé du cancer de l’endomètre, l’invasion lymphovasculaire occupe désormais une place centrale dans le staging et la stratégie chirurgicale. Identifier précocement les patientes à risque demeure cependant un défi préopératoire. Des marqueurs IRM simples et reproductibles émergent aujourd’hui comme des outils prometteurs pour affiner la stratification et guider l’étendue du geste chirurgical dès le diagnostic.

Les chroniques du musée...

« Tulipe » hystérographique à préhension pneumatique
​​​​​​

La SFR remercie la famille du Dr Maurice Mussat qui a remis au musée de la Radiologie un exemplaire de sa cupule hystérographique accompagnée de son brevet et de documents personnels.

XXXIIIe Symposium Franco-Hongrois de Radiologie Budapest, 15-17 avril 2026

 

Le symposium s’ouvrira le mercredi après-midi par des ateliers interactifs de cas cliniques, permettant des échanges privilégiés autour des grands thèmes oncologiques du congrès. Les jeudi et vendredi, les séances plénières aborderont les avancées majeures de l’imagerie en oncologie, de la neuroradiologie (méninges, système glymphatique, moelle épinière, selle turcique) à l’imagerie abdominale (tumeurs de l’intestin grêle, du côlon et du rectum), en passant par l’imagerie ORL (VADS, glandes salivaires, adénopathies cervicales atypiques) et l’imagerie musculo-squelettique, avec un focus sur les tumeurs osseuses et des parties molles, la base et la voûte du crâne, ainsi que les nouvelles applications de l’intelligence artificielle.

Fidèle à son esprit, ce symposium restera un lieu d’échange scientifique et humain, favorisant le dialogue et la coopération franco-hongroise au cœur de Budapest.

    
Vous recevez cet e-mail parce que vous avez accepté de recevoir des informations de la part de la SFR. Conformément à la loi "Informatique et libertés" vous bénéficiez d'un droit d'accès et de rectifications des données personnelles vous concernant que vous pouvez exercer à l'adresse : dpo@sfradiologie.org . Vous pouvez vous désinscrire à tout moment des lettres d'information de la SFR en cliquant sur le lien de désabonnement.  Attention en vous désabonnant de cette lettre d’information, vous vous désabonnerez de toutes les lettres d’information de la SFR. Merci de ne pas répondre à cet e-mail. 
Pour continuer à recevoir nos e-mails, ajoutez notre adresse à votre carnet d’adresses.
Téléchargez les images
Partager ce message :
Facebook Linkedin Transférer
 
S'abonner | Engagements de confidentialité
 
Sendethic, le facilitateur du marketing en ligne.